科室新闻
宣武有术丨岩前入路岩斜区脑膜瘤切除术

宣武医院神经外科每周二全科学习的手术回顾环节,是一直以来的传统和品牌活动。每一台手术都由住院医师介绍病例,播放剪辑的手术精华录像,术者进行总结,之后全科医师提问讨论。在这种严谨而开放的讨论中大家分析每个病例的利弊得失,取长补短,从而得以精进。为了鼓励对手术技术的不断追求,科室将手术回顾环节升级为「宣武有术一一新技术/疑难手术/重大抢救」评比,由与会观众现场打分评出一二三等奖,并将获奖病例的精彩内容在科室公众号上分享,欢迎国内外同道斧正!
2022 年「宣武有术」七月评比 第一名
疑难手术 岩前入路岩斜区脑膜瘤切除术
术者:肖新如
手术难点
岩斜区脑膜瘤位置深,比邻多个重要神经血管,手术难度大,风险大,是神经外科难度最大的手术之一。
本例脑膜瘤患者,经岩前入路完成岩斜区脑膜瘤全切除,实现了单一入路切除岩斜区大型脑膜瘤,同时重要神经功能得以保护。
病史资料
男性,52岁
主诉:左侧面部麻木1月
既往史:结肠癌术后9年
查体:神清语利,对答切题,四肢肌力、肌张力正常,生理反射存在,病理反射未引出。
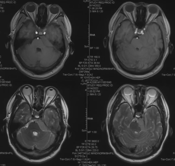
术前影像检查
头颅MRI

T1、T2像显示左侧岩斜区肿瘤,骑跨中后颅窝,呈等T1和长T2信号,肿瘤呈实性,边界清楚,不伴瘤周水肿。
头颅MRI增强

增强轴位和冠状位显示肿瘤均匀强化,肿瘤基底主要位于左侧中上斜坡及岩骨背侧,向前达鞍区颈内动脉后方,向内侧达椎动脉,向外侧超过内听道水平,向下达内听道水平。
诊断
左侧岩斜区脑膜瘤
术者说
岩斜区脑膜瘤是较为少见的一种脑膜瘤,因其位置深,比邻多个重要神经血管,手术难度大,风险大,是神经外科难度最大的手术之一,国内只有较大的一些神经外科中心开展。
术前评估
左岩斜区占位,主要症状是三叉神经的症状,肿瘤边界清楚,均匀强化,术前诊断良性脑膜瘤,手术指征比较明确。
肿瘤同时累及中后颅窝,且基底位于中上斜坡,所以选择岩前入路可兼顾切除中后颅窝肿瘤,同时也可完全切除中颅窝肿瘤,给予三叉神经充分减压。
肿瘤沿岩骨背外侧生长达内听道外侧缘,术中可能需要向外侧扩大磨除岩骨尖的骨质,同时使用内镜帮助观察和离断位于岩骨背外侧肿瘤基底。
肿瘤累及范围较广泛,术中对三叉神经、动眼神经、滑车神经、外展神经及面听神经的保护尤为重要。大脑后动脉及其穿支血管也是要严格保护。
肿瘤较大,颅压可能较高,术前放置腰大池引流,术中释放脑脊液,松弛脑组织是非常必要的。
综合以上情况,采用岩前入路切除肿瘤较为合适。
治疗策略
岩前入路肿瘤切除术。
辅助手段:电生理监测,包括SEP和MEP;三叉神经、面神经FMEP ;内镜及内镜器械。
手术体位:采取右侧卧位,麻醉后放置腰大池引流管(闭管,术中剪开硬脑膜后开放)。
术者说
根据肿瘤的大小和累及范围,有多种手术入路可选择,岩前入路是其中一种。它的最主要优点是可同时切除中颅窝、后颅窝肿瘤,直视下处理斜坡肿瘤基底,肿瘤切除彻底,颅神经保护良好。
手术过程
金属头架固定头位,常规消毒铺无菌单后,设计耳前耳上弧形切口长约8cm。切开头皮、分离颞肌,牵开器暴露颅骨,铣刀成型直径4cm骨瓣。磨平中颅窝底骨质。

弧形剪开硬脑膜后腰大池释放脑脊液,待脑组织松弛后,牵开颞叶。见中颅窝底硬脑膜有肿瘤附着,给予切除,暴露小脑幕缘。切开小脑幕至岩骨嵴后缘,确定岩骨尖位置、切除岩骨尖表面硬脑膜,磨钻磨除岩骨尖骨质范围约1.2x0.8x0.8cm。

切除三叉神经和滑车神经之间的硬脑膜暴露肿瘤。肿瘤呈灰白色、质地软韧,血供丰富。肿瘤累及鞍区、斜坡和岩骨背侧,包绕动眼神经、滑车神经、外展神经及面听神经,与基底动脉、大脑后动脉及穿支血管黏连。先离断斜坡及岩骨背侧肿瘤基底,分块切除肿瘤,仔细分离肿瘤与神经血管黏连,给予保护。显微镜下完全切除肿瘤后,再用30度角内镜观察岩骨背外侧及下斜坡确定肿瘤基底无残留。

术区严格止血,缝合硬脑膜,骨瓣复位固定,逐层缝合头皮,手术结束。撤除金属头架后,患者带气管插管返回ICU,12小时后患者自主呼吸恢复,意识清醒,拔除气管,可正确对答,四肢自主活动。
病理诊断
非典型脑膜瘤,WHO II级
术后恢复
术后MRI+增强:显示肿瘤完全切除

术后眼球运动照片

术后肢体活动

术者说
岩前入路切除岩斜区脑膜瘤在我们团队应用较多且历史较长,早在2013年就发表sci文章(Xiao X et al,Neurosurg Rev 36:587–93,2013.)总结岩前入路经验,后来又通过近10年的应用和研究,逐步改进,对其有了更深入的体会,并将之与国内外同行交流推广(发表SCI文章2篇:Jie Bai et al,J Korean Neurosurg Soc 65 (3) : 479-488, 2022;Jie Bai et al,British journal of neurosurgery 12(3):1-8, 2022)。
目前岩前入路切除岩斜区脑膜瘤被越来越多的国际行内专家认可,也被更多的国内神经外科中心应用。宣武医院神经外科对颅内各种脑膜瘤包括凸面、颅底、脑室内、颅眶沟通性、颅内外沟性的均有丰富的治疗经验。
我们根据肿瘤的特点可采用显微镜、神经内镜或显微镜结合内镜等多种方式进行手术,同时应用神经外科机器人、导航、术中核磁等先进技术手段辅助,在尽可能保护神经功能前提下最大程度切除肿瘤。
宣武医院神经外科年脑膜瘤手术量近1000台,特别是对一些颅底、深部、巨大和反复复发的脑膜瘤,积累了大量的临床病例。我们会尽最大努力帮助每一位患者去除病痛,正如我们的科训:如履薄冰,如临深渊,全力以赴,尽善尽美。
手术医生介绍

宣武医院神经外科
颅底和脑肿瘤中心 主任医师
医学博士,主任医师,硕士研究生导师。曾在首都医科大学附属北京天坛医院神经外科工作近20年,2018年调入首都医科大学宣武医院神经外科。在颅底肿瘤、脑干疾病的诊治方面有丰富的经验。曾在日本九州大学医学院做博士后研究。主要研究胶质母细胞瘤的基因治疗。曾先后前往美国圣路易斯大学医学院、美国Cleveland Clinic Foundation神经外科、美国凤凰城Barrow神经外科研究所参观学习。中国解剖学会神经外科分会主任委员;欧美同学会医师协会颅底外科分会 副主委兼秘书长;中国医药教育协会神经内镜与微创医学专业委员会常委。
【擅长】
各种复杂颅底肿瘤的显微外科治疗,包括岩斜区脑膜瘤,听神经瘤、颈静脉孔区肿瘤、枕大孔区肿瘤等。
【出诊时间】
周一上午(特需门诊),周一下午(专家门诊)








