科室新闻
宣武有术|小脑复发巨大血管母细胞瘤切除术

宣武医院神经外科每周二全科学习的手术回顾环节,是一直以来的传统和品牌活动。每一台手术都由住院医师介绍病例,播放剪辑的手术精华录像,术者进行总结,之后全科医师提问讨论。在这种严谨而开放的讨论中大家分析每个病例的利弊得失,取长补短,从而得以精进。为了鼓励对手术技术的不断追求,科室将手术回顾环节升级为「宣武有术一一新技术/疑难手术/重大抢救」评比,由与会观众现场打分评出一二三等奖,并将精彩病例在科室公众号上分享,欢迎国内外同道斧正!
2024 年「宣武有术」疑难病例
—颅底和脑肿瘤中心—
疑难病例 小脑复发巨大血管母细胞瘤切除术
术者:宋刚、梁建涛
病史资料
女性,55岁。
主诉:14年前因小脑血管母细胞瘤行手术治疗,头痛头晕5天,行头颅MRI检查提示血管母细胞瘤复发。
既往体健
查体:神清语利,双瞳等大,光反应灵敏,四肢肌力、肌张力正常,病理征阴性,闭目难立征(-)。
既往诊疗过程
既往诊疗过程
1)2010年头颅CT提示小脑占位。

2)2010年外院手术术后病理提示为小脑血管母细胞瘤。

本次入院术前检查
术前检查
1)术前血常规未见血红蛋白升高。

2)腹部超声和眼底照相未见脏器多发囊肿或血管瘤,排除林岛综合征。


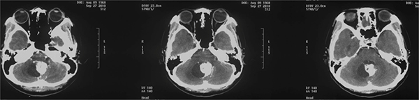
头颅增强MRI
1)T2像可见病变压迫延髓,有血管流空影。

2)增强像提示血供丰富。

3)矢状位提示肿瘤主体位于枕大孔背侧,瘤体巨大,最下缘至C1水平,最上缘至四脑室头端。

术前造影
1)右侧椎动脉造影

2)左椎动脉造影

血管造影提示病变血供来自于双侧小脑上动脉和小脑下动脉分支,血管细小,无法精确栓塞。
诊断
小脑复发巨大血管母细胞瘤
术前讨论
后颅窝复发病变,周围组织粘连紧密,周围神经、血管、脑干损伤可能性大。
术前无法栓塞增加了手术难度,术中出血多,不可控的出血及周围组织损伤几率大。
手术策略
后正中入路血管母细胞瘤切除术
术中监测:体感诱发电位SEP;运动诱发电位MEP
手术体位:俯卧位
手术过程
连接SEP、MEP等电生理监测装置,摆放俯卧位,头架固定,因病变巨大,头位尽量低,争取术中能直视下看到中脑导水管。枕下后正中骨瓣开颅,将原骨窗扩大,打开C1后弓,剪开硬脑膜,释放脑脊液,病变供血主要来自于双侧小脑上动脉和小脑下动脉分支,引流静脉分散,沿病变与脑组织接触面仔细分离,并电凝细小动脉供血,保护好引流静脉,沿病变周围充分离断血供之后,由于病变巨大,无法翻转病变离断病变腹侧血供,但此时病变血供已经明显降低,因此可分块切除病变,最后离断病变腹侧血供,全切病变。最后水密缝合硬膜,防止脑脊液漏,还纳、固定骨瓣,缝合伤口。
术中截图


图1 显示暴露病变(红色箭头)

图2 电凝分离来自右侧小脑后下动脉(红色箭头)的细小血供

图3 病变全切后的手术野,显露四脑室底(红色箭头)
病理诊断
血管母细胞瘤

术后复查
术后MRI
术后头颅MRI显示肿瘤全切,小脑无明显水肿,无脑脊液漏。


术后状态
术后神经功能完好,肢体活动正常,共济运动正常。

(患者资料经患者及家属同意仅供专业探讨)
术者说
对于巨大血管母细胞瘤来说,手术是最佳的治疗方式,手术原则是首先通过全脑血管造影明确病变的血供来源和静脉引流,由于病变血供丰富,通常开刀手术前会对供血血管进行栓塞,以便手术过程中减少出血和降低并发症率。但是对于术前无法栓塞的病变手术风险大,术中损伤脑组织和神经的几率高,出现难以控制出血的风险高,本例则是这种情况。另外,该病例为二次手术,病变周围有瘢痕组织形成,更加难以与周围正常结构分离,因此手术难度很大。在这种情况下,术者显微镜下通过轻柔操作来分离病变与脑组织界面,并逐一切断细小的供血动脉,这不仅需要技术,更需要耐心。最终病变全切,患者术后神经功能完好,肢体活动正常,共济运动正常。

颅底和脑肿瘤中心合影
手术医生介绍

宋刚
首都医科大学宣武医院神经外科
副主任医师
医学博士
主要擅长面肌痉挛、三叉神经痛、垂体瘤、颅咽管瘤、听神经瘤、脑膜瘤以及其他颅底肿瘤的外科治疗。参编著作2本,发表国内核心期刊和SCI共30余篇。
擅长:面肌痉挛、三叉神经痛、垂体瘤、颅咽管瘤、听神经瘤、脑膜瘤以及其他颅底肿瘤的外科治疗。
【出诊时间】周四下午(专家门诊)

首都医科大学宣武医院神经外科
主任医师,神经外科副主任
医学博士
先后毕业于山西医科大学、首都医科大学。曾到奥地利、德国、日本访问学习。师从世界神经外科大师Samii.M教授学习颅底显微外科技术,现在能熟练应用半坐位和侧卧位完成听神经瘤手术。北京市医学会神经外科分会颅底专业委员会委员、中国医师协会神经修复专业委员会委员。主持北京市首都特色课题、北京市扬帆计划等课题。2018年北京神经外科学术年会“青年医生手术视频大赛”二等奖,2019年CHINA-INI第2届手术视频大赛一等奖。
擅长:听神经瘤、颈静脉孔区肿瘤、脑膜瘤、脑干海绵状血管瘤、三叉神经痛、面肌痉挛及面瘫等疾病的显微外科治疗。
【出诊时间】周一上午(专家门诊)、周三上午(特需门诊)








