科室新闻
医生手记|相比救火队员,我更愿意做防火队员
前几天,我接收到了一位患者几乎痊愈的复查头CT影像。他就是那位我曾经在9月公众号中科普过的术后精神兴奋被误诊为意识障碍,从而进入ICU,被气管插管、上呼吸机的71岁老者。仅仅用了不到3个月,他就几乎完全恢复正常(图1)。

图1
其实,在这位老先生所在的城市,我还曾收治了一位走着去医院、手术后却一度被认为不能苏醒的73岁女性慢性硬膜下血肿患者,在我们的精心治疗下,她的术后残余血肿完全消失。而且在众多专家都认为她再也不能苏醒的前提下,我通过临床症状体征判断患者一定能苏醒,然后采取简单的右正中电刺激和康复疗法后,患者逐渐的苏醒和康复。我曾经在公众号中科普过她的慢性硬膜下血肿的治疗,可喜的是这位患者今年8月份已经完全苏醒且生活基本自理。可以说,慢性硬膜下血肿治疗方案的选择对一部分患者的预后至关重要,这样的例子不胜枚举。
近年来,从全国各地来医治或者紧急呼唤我去会诊的慢性硬膜下血肿钻孔引流失败或者治疗无进展的患者有很多,很多患者朋友也亲切的称呼我为该疾病当之无愧的“救火队员”。其中有几位患者让我印象尤为深刻。例如,H先生,今年36岁,帅气阳光,事业有成。因磕碰头部不幸患了左侧硬膜下血肿。当地省城最大的神经外科医生为他做了钻孔引流术。但是术后患者血肿没有完全消失,且间断发作头晕,从坐位站起或者稍有动作就更明显。有医生分析他的病情,告知他这点血肿不至于头晕,头晕应该是耳石症引起。当地医生也参照我们的治疗方案让他口服阿托伐他汀钙治疗,又建议他去耳鼻喉科做耳石症纠正,折腾了3个多月,他的症状一点都没有好转,血肿牢牢地占据在他的左侧额叶不大不小,他几乎陷入抑郁。
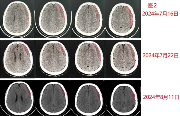
2024年7月15日,他在一位北京著名神经外科教授推荐下从南方来找我,多年的经验告诉我,他的头晕应该就是这个残余血肿引起。然后给予他汀加激素加头颈淋巴按摩疗法,治疗1周出院时复查即已经见到血肿缩小,但头晕减轻并不明显。也因此他仍然忧心忡忡,问我自己到底能否治愈?我反复安慰他,一定会治愈。在接下来漫长的等待药物发挥作用时间中,他间断联系我,说脸上起疹子了,体重增加了,头晕减轻,却仍然没有消失。我感知到他的忧郁,鼓励他,血肿变得越来越小,症状越来越轻,而这些副作用是我们预知的药物副作用,一定会随着停药而完全消失,他的信心逐步增强。9月23日,他突然主动联系我告诉我好消息,说当地医生复查时已经告诉他,他的血肿完全消失了(图2),他的头晕症状也完全消失了。


图2
他热情邀请我到他所在城市过国庆节,一定要好好招待我。我因为忙碌,肯定爽约。但年轻患者的治愈还是让我颇感欣慰,年轻的慢性硬膜下血肿患者是最容易焦虑的一个群体。
从这例患者治疗经过我体验到,我不能预知他的手术有没有必要,但是我可以预知,如果术前就他遇到我,我会告知他这个疾病还有其他的治疗方法。至于头晕的症状是由残余血肿引起还是耳石症引起,确实和个人诊疗的经验有关。因为耳石症罕见发生于年轻人,并且针对性治疗无效,他又有明确的未治愈血肿,因此我判断还是残余血肿导致了患者的临床症状,事实也证实了这一点。
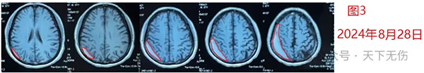
9月19日我在门诊遇到另一位让我印象深刻的患者。该患者从西北飞抵北京找我,看上去并不像得了颅内血肿的患者。他今年55岁,没有明确原因出现硬膜下血肿,8月16日左右在当地最大的医院做了钻孔引流手术,术后也确认血肿没有完全消失。当地医院的医生告知他,虽然血肿没有消失,但是血肿体积很小。建议他养一养,等血肿量大一点后再手术。但在我看来,这名患者的情况还是需要积极的去处理,因为此时颅内血肿估算至少超过20ml(图3)。

图3
患者当然也接受不了医生的这个“等待”疗法,因此他千里迢迢赶到北京来找我治疗。他在年轻时因为病毒性脑炎接受大剂量激素冲击治疗,残余了2°股骨头坏死。因此他的治疗又不同于一般患者。我给了他一个药物治疗方案,希望他能够在我指导下治愈。
结语
实际上,近15年来,超过1200位不愿意接受手术治疗的患者通过线上就诊或者亲自到门诊来找我诊疗,我使用药物就治愈了他们当中90%以上的患者,只有不到10%的患者药物疗效不好而接受手术。尽管只有少数患者接受了手术治疗且绝大多数获得治愈,但是,这些少数接受手术治疗的患者,经仔细观察,他们在围手术期也会产生手术相关并发症,如发热,谵妄,一例患者还发生了癫痫大发作……因此,我更愿意让慢性硬膜下血肿患者首先尝试药物治疗,我以“防火队员”的角色,让患者的潜在火灾达到“灭火”于未燃阶段。至于因治疗失败转而求助我的患者,我的角色就是“救火队员”了。经多年的临床研究和我不遗余力的在国内各地宣讲慢性硬膜下血肿的综合治疗方案,越来越多的医生接受我的这一疗法,我希望终有一天,我无需再做“救火队员”。
出诊时间
本人已经正式调任首都医科大学宣武医院神经外科。因工作调动,给来自全国各地患者造成了不便,本人深感歉意。
目前出诊时间为每周四下午13:00-17:00(神经外科专家门诊)。出诊地点在宣武医院门诊三楼神经外科。

作者简介
江荣才 教授
首都医科大学宣武医院教授,主任医师,博导
中华医学会神经外科学分会委员、脑外伤学组副组长
中国医师协会神经外科医师协会神经重症专委会副主任委员
国家创伤医学中心颅脑创伤专业委员会副主任委员
中国老年保健协会神经外科学创新与转化分会首任会长
擅长复杂重型脑外伤、脑出血及慢性硬膜下血肿的诊疗。
是他汀治疗硬膜下血肿的主要发明者,治疗慢性硬膜下血肿患者超1200名,总治愈率约90%








