科室新闻
医生手记丨江荣才教授谈他汀治疗慢性硬膜下血肿研究
海外知已
前些天,因为要拓展我的一个真实世界研究的病例收集,我联系了许久未谋面的潘伟生教授(Wai Sang Poon)。潘教授是原香港中文大学威尔斯亲王医院神经外科主任医师、博士生导师、香港外科学院院士。他的国际交流频繁而密切,在国际神经外科界上享有很高地位,他曾经被提名担任WFNS的神经外科学会主席,但他自己推辞不干,说是要把更多时间留给病人和科研。他是对大陆神经外科非常友好的教授,并总是给予我们真诚帮助,我们都非常尊敬他。
潘教授早在2014年,就开始帮助我和建宁教授做临床研究,我们2018年那篇在国际知名期刊发表的关于阿托伐他汀钙治疗慢性硬膜下血肿的临床研究论著,就有他的贡献。他在我们提出阿托伐他汀钙治疗作用后,指导他的学生发表了关于慢性硬膜下血肿术后应用阿托伐他汀钙可以有效减少术后复发的论著,有力支持了我们的研究。我个人去香港短暂开会以及我的公子到香港短暂学访,他都专门安排关照,让我很感动。2018年我们启动他汀加地塞米松治疗慢性硬膜下血肿的临床研究后,他于2019年左右启动了在香港和东南亚进行的阿托伐他汀钙与安慰剂治疗慢性硬膜下血肿的真实世界研究,我帮助他制作安慰剂。记得当时因为大陆和香港的单位间支付问题,我们在天津找的安慰剂生产无法如期产出产品,我做了一些协调工作最终促成该事。因此,我们的联系变得更多。也因此,我们见面时就会聊他汀治疗慢性硬膜下血肿。
今年年初,在大陆某次大会上遇到了潘教授。他笑着说,他那个原本希望在香港和东南亚实施的慢性硬膜下血肿他汀治疗研究无法进行,因为病人自己服用他汀的太多了,变得无法入组。他说这也正说明他汀的作用,好在他的数据还是可以用的,也在准备发表中。我这是第一次准确知道,阿托伐他汀钙治疗慢性硬膜下血肿在香港已经“流行”。因此颇为宽慰。回到篇首,因为这次需要拓展病例的事,我们再次聊起该疗法。我抱怨现在只有大陆的医生在普遍接受该方案,西方国家的医生好像对此完全漠视,潘教授用英文宽慰我“They are aware of it”,并告诉我现在香港至少50%患者自己会自购他汀治疗慢性硬膜下血肿。潘教授真是我的海内知己。
刘建民教授和毛颖教授最近发表在NEJM的著名论著中竟然有高达96.4%的试验组患者和97.0%的对照组患者应用了他汀。可见在参与该实验的31家三甲医院的神经外科中应用阿托伐他汀钙治疗慢性硬膜下血肿已经成为常规,他汀的治疗得到了我国绝大部分神经外科医生,包括香港医生的认可。这是我和建宁教授,以及如潘教授这样的海内外知名同道们的共同成功。但是,我还需要真实世界的证据来支持我的研究。因为,我曾经遇到海外慢性硬膜下血肿患者,他们的主管医生大多对这个疗法持有偏见,国内至今还有医生不认识这个疗法,或者虽然认识,但不相信它是有效的。
回顾自己以他汀治疗慢性硬膜下血肿的过程:在2014年之前,我治疗患者主要是单药应用辉瑞公司的立普妥,2014年以后因为发现单用他汀治疗确实有部分患者效果不佳,因此,又从文献中挖掘新疗法,以历史最悠久的地塞米松治疗慢性硬膜下血肿为基础,探索如何改变成他汀加地塞米松治疗,果断降低了地塞米松的剂量,使它变得安全,于2020年指导年轻医生发表了第一篇概念验证研究来证实该疗法,进一步提高了疗效。但是,这么多年过去了,单用他汀就治愈的患者都散落在各个医院,我自己在门诊遇到的这类对他汀较为敏感的患者较少,原因可能是来找我的患者多数是术后复发已经服用他汀,或者在其他医生那里接受过他汀治疗无效的患者。至于那些少数通过自服他汀就治愈的患者,他也没有必要再来我这里诊疗。但是,12月5日门诊,我竟然一次就见到3例单用他汀就显示出巨大疗效的慢性硬膜下血肿患者,我还是小小的得意了一会儿。那种心情,就像是小时候从大人那里领了任务去刚刚收割完的麦田里捡麦穗,虽然知道肯定会捡到一些,却突然意外发现一支硕大的躺在那里让我捡到一样……
患者病例
C先生,今年49岁,没有任何外伤,明确10月初有一次用力抬东西后眩晕感历史。1周后头疼头晕明显,到北京某医院就诊,确诊为慢性硬膜下血肿并接受了手术。11月26日复查确诊术后复发。医生建议他再做一次手术,他非常犹豫。多方咨询后,他的朋友向他推荐了我。我见他刀口处畸形愈合,头皮凹陷,知道他是疤痕体质,确实不适合再次开刀。药物治疗当然可行,但是,他的最近复查距离我门诊已经差不多半个月,因此建议他复查头磁共振。结果显示,他的血肿已经开始吸收。追问病史得知,他在10月接受手术后,医生给他用了阿托伐他汀钙(立普妥),我对比他两次影像给他看,确认血肿缩小,而且症状明显减轻。他十分激动。他是个至少1米八的堂堂西北汉子,却站起来连续给我鞠躬。说他因为近期失业,没有医保,这次看病花了很多钱,而我的治疗有望让他只花很少的钱就解决问题,非常感谢我。

患者病例2
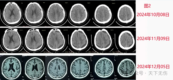
H先生,74岁。10月初发生严重外伤,诊断为脑挫裂伤,颅内积气,左侧硬膜下血肿。因意识尚可,北京某医院没有给他做手术,11月09日复查见血肿液化,但症状逐步加重,出现走路不稳、嗅觉异常和全身异常感觉。非常焦虑。家人陪他到我门诊,他话很少,是家人代叙。因为距离他最近检查的头CT已经接近1个月没有复查了,我说服他去做个头部磁共振。2小时后我看到片子(图2),高兴地恭喜他已经痊愈。我还告诉他和他的家人,脑外科已经无需治疗。追问病史,才得知,他也是在医生建议下自服阿托伐他汀钙,而且服用了43天。得知不必再治疗的消息后,他们开始简直不敢相信,当再次确认后,一家人高兴地带着患者离开,不说话的这位患者,临走时居然也笑着开口向我表达致谢了。

患者病例3
Z女士,62岁,今年6月头部被硬物砸伤,然后就在当地医生建议下开始口服阿托伐他汀钙,但到10月底自觉头晕头闷,在当地确诊为慢性硬膜下血肿。患者焦虑,由儿子陪着从几百里外的河北某地赶到北京找我求诊。同样是因为她的最后影像学资料距离门诊日太过久远,我建议她接受新的检查。快下班时拿到她的最新影像学检查结果,显示老人家的血肿已经大部消失、仅剩一点点残余(图3)。我告诉她,她可以吃药也可以不吃药,已经接近痊愈了。患者和她的儿子听了后也是一脸懵懂,确认后高兴不已,连连向我致谢,说他们也是慕名求诊到我门诊。

医生手记
一天门诊能连续见到三位单药服用他汀的患者治疗显效,对我而言是十分少见的幸运。对患者而言,由于我消除他们及其家人的巨大焦虑,也节省了很多费用,受益非常明显。我们真正实现了医患双赢。
慢性硬膜下血肿是一个常见病,但并非多发病。我因为研究这个疾病时间很长,被一些患者熟知或者检索到,然后辗转来找我治疗,也因此治好了大约千余例患者。但是,由于该病并非多发病,许多医生甚至患者并不知道我能如此简约地治疗这个疾病。这可能就是研究非多发病的必然结果。
我今天早晨参加一个学术会议,那个餐厅的主食是方便面,我和多位教授一样,也选择了方便面,然后谈起了慢性硬膜下血肿。我非常有感触地说,您看大家都觉得方便面好吃,但是有谁记得方便面是谁发明的吗?他说他不知道。我告诉他是一位日本人发明的,名字我也忘记了。我接着说,这很正常,就像慢性硬膜下血肿他汀治疗,现在国人包括香港医生都在广泛使用了,但是可能没有几个人知道这个疗法是我和张建宁教授发明的。我还说,只要大家知道这个疗法是中国人发明的,我们就感到很欣慰。

作者简介
江荣才 教授
首都医科大学宣武医院教授 主任医师 博导
中华医学会神经外科学分会委员、脑外伤学组副组长;
中国医师协会神经外科医师协会神经重症专委会副主任委员;
国家创伤医学中心颅脑创伤专业委员会副主任委员;
中国老年保健协会神经外科学创新与转化分会首任会长;
擅长复杂重型脑外伤、脑出血及慢性硬膜下血肿的诊疗。是他汀治疗硬膜下血肿的主要发明者,治疗慢性硬膜下血肿患者超1200名,总治愈率约90%。
【出诊时间】
每周四下午(神经外科专家门诊)








