您好,欢迎访问首都医科大学宣武医院官方网站!

国家神经疾病医学中心National Center for Neurological Disorders

中国国际神经科学研究所China International Neuroscience Institute

宣武医院神经外科Department of Neurosurgery, Xuanwu Hospital

颅底和脑肿瘤中心

颅底和脑肿瘤中心

字号:
+-14

CHINA-INI 颅底和脑肿瘤中心成立于2018年12月,中心主任为肖新如主任。中心共有15名医生,其中主任医师7名,副主任医师5名,主治医师3名。共有23名护士,护士长为张晓蕾、马春梅主管护师。

颅底和脑肿瘤中心共有床位88张,15位医师包括9位主诊医师分别是肖新如鲍遇海徐庚陈革郭宏川梁建涛孟国路汤劼林庆堂医师,以及6位高年资医师魏宇魁、李茗初、侯远征白杰刘小海、宋刚医师。

本中心共有4个固定手术间,其中1间为术中核磁手术室。拥有3台蔡司Pentero 900高清显微镜和一台三鹰MM90/YOH显微镜、Storz高清神经内镜、Brainlab术中导航、Soring术中超声吸引器、Nicolet电生理监测等先进设备。能完成颅内及颅内外沟通的各种肿瘤,如胶质瘤、垂体瘤、脑膜瘤、听神经瘤、颅咽管瘤、脊索瘤、三叉神经鞘瘤、颈静脉球瘤、软骨肉瘤,以及三叉神经痛和面肌痉挛的显微外科治疗。

团队合影

微信图片_20220726110439.jpg


擅长的专业特色疾病

1、联合应用术中磁共振、皮层电刺激、术中超声、术中唤醒等多模态技术治疗功能区胶质瘤。

2、个体化选择内镜、显微镜技术或双镜联合技术治疗侵袭性垂体瘤、颅咽管瘤、颅底脊索瘤等。

3、个体化选择半坐位、侧卧位,显微治疗听神经瘤,现每年手术量200台,面神经解剖保留率97%,面神经功能保留率(House-Brackman 1-3级)88%。

4、可以开展各种手术入路,如翼点入路、额外侧入路、眶上外侧入路、颞下岩前入路、颞枕联合小脑幕上下联合入路、乙状窦后入路、远外侧入路切除各种复杂的颅内外病变。

5、面肌痉挛、三叉神经痛以及舌咽神经痛的显微外科治疗。

6、和血管专业组密切合作,采用术前栓塞+手术切除的模式,显微外科切除各种高血运肿瘤,如脑膜瘤、颈静脉球瘤等。

7、本中心李茗初医生兼任CHINA-INI之Samii解剖实验室主任,为年轻医生显微解剖训练及临床操作技术的提高奠定了基础。




图片掠影

微信图片_20220726110442.jpg


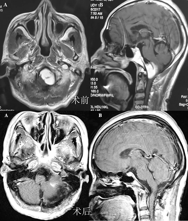
左侧颈静脉孔区神经鞘瘤手术前后


微信图片_20220726110445.jpg

颅颈联合+经乳突经颈静脉突入路


微信图片_20220726110448.jpg

在传统增强MRI (T1+C) 导航数据的基础上,叠加基于PET-MRI影像,根据肿瘤对氨基酸类放射性示踪剂18F-FET的摄取看到肿瘤“真正的边界”,从而做到在保护脑功能的基础上尽可能扩大切除肿瘤,延长患者的生存期,推迟复发时间。

微信图片_20220726110452.jpg

在基于MRI中T2 Flair像和PET-MRI中18F-FET摄取像重叠起来形成的多模态影像导航下,基于对脑白质纤维束解剖的深入认识,在保护脑功能的前提下全部切除肿瘤。

微信图片_20220726110455.jpg


对于与矢状窦关系非常紧密的窦旁肿瘤,在术前进行MRI,DSA,DTI(左侧偏盲)等多模态评估,由脑血管介入医师进行肿瘤的术前栓塞后,择期全部切除肿瘤,术后患者偏盲完全恢复,无神经功能缺失。

微信图片_20220726110458.jpg


微信图片_20220726110500.jpg

垂体瘤术前影像


微信图片_20220726110503.jpg

颅咽管瘤术前影像

微信图片_20220726110505.jpg


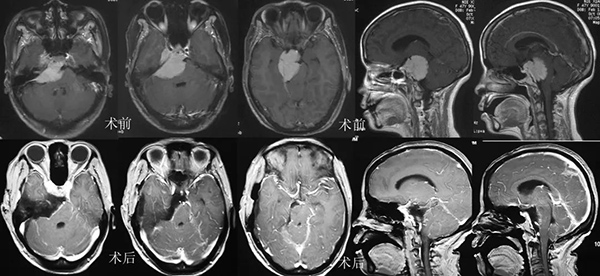
岩斜脑膜瘤手术前后

微信图片_20220726110508.jpg

枕骨大孔脑膜瘤手术前后

微信图片_20220726110511.jpg

2018.12-2019.8   完成的100例听神经瘤手术

微信图片_20220726110514.jpg

兼顾美观,为女患者人文剃头

微信图片_20220726110516.jpg

工作、学习照片


团队主要成员介绍


肖新如 副教授

职称:主任医师

职务:颅底和脑肿瘤中心主任

微信图片_20220921181650.jpg

中国解剖学会神经外科分会主任委员,Dandy Neurosurgical Society司库,欧美同学会医师协会颅底外科分会副主任委员兼秘书长,中国医药教育协会神经内镜与微创医学专业委员会常委。曾在日本九州大学医学院做博士后研究;先后在美国Cleveland Clinic Foundation神经外科、圣路易斯大学医学院附属医院、凤凰城Barrow神经外科研究所参观学习。

擅长:各种复杂颅底肿瘤,如岩斜脑膜瘤、鞍区脑膜瘤、枕骨大孔脑膜瘤、听神经瘤、颈静脉孔区肿瘤、颅内外沟通性肿瘤、颅眶沟通性肿瘤、颅咽管瘤、以及胶质瘤和各种脑干病变的显微外科治疗。在垂体瘤、脊索瘤内镜治疗方面具有丰富的经验。


出诊时间:

周一上午(特需门诊

周一下午(专家门诊)


鲍遇海  教授

职称:主任医师

微信图片_20220726110519.jpg

宣武医院神经外科颅底和脑肿瘤中心主任,国务院特殊津贴专家,第四届中国医师协会神经外科分会总干事,世界神经外科联合会(WFNS)颅底委员会委员及脑血管病委员会委员。曾到维也纳大学神经外科、德国汉诺威神经科学研究所访问学习。《介入神经放射影像学》副主编、主译《显微神经外科学》(M.G.Yarsargil 著)、《颅底外科学》(M.Samii, W.Draf 著)等多部著作。擅长:听神经瘤、脑膜瘤、脑干海绵状血管瘤、颈静脉孔区肿瘤等颅底复杂疾病的显微外科治疗。


徐庚  教授

职称:主任医师

微信图片_20220726110522.jpg

在国内较早完成功能区肿瘤全切除并保留神经功能,并及早地将基础研究成果(脑白质纤维解剖与影像技术相结合)应用于临床并取得了良好的效果,术后患者的生存期明显延长。通过影像技术与手术结合对窦旁脑膜瘤进行新分型,对窦旁脑膜瘤手术有有益的指导作用。在脑胶质瘤综合治疗方面,除开展放化疗,同时带领宣武医院肿瘤组在国内率先开展免疫细胞(CAR-T)治疗,利用PET-MRI进行脑胶质瘤精确诊断和治疗,并积极开展胶质母细胞瘤的分子靶向治疗以及分子治疗等。

擅长:功能区胶质瘤、岛叶胶质瘤、复杂颅内肿瘤的显微外科治疗。


出诊时间:

周二上午(专家门诊)

周四上午(专家门诊)

周三上午(特需门诊)


陈革

职称:主任医师

微信图片_20220726110524.jpg

2001年10月至2002年4月到德国美茵茨(Mainz)大学附属医院神经外科跟随Axel Perneczky教授学习微侵袭神经外科,期间到奥地利维也纳大学解剖学院跟随Manfred Tschabitscher教授学习内镜和显微神经解剖。2005年3月至5月到日本东京慈惠大学附属医院神经外科访问研究,从事训练用内镜下经鼻蝶入路颅底模型的试验研究。现任:WFNS神经内镜委员会委员。中国医师协会神经外科分会神经内镜专家委员会委员、中国医师协会内镜医师分会神经内镜专业委员会委员、北京医学会神经外科分会神经内镜学组副组长、中国医师协会神经修复学分会下丘脑与垂体疾病学组委员、中国医师协会医师志愿者工作委员会副主任委员。

擅长:垂体瘤、颅咽管瘤、颅底脑膜瘤、听神经瘤、脊索瘤、三叉神经痛、面肌痉挛、脑积水等疾病的微创治疗。


出诊时间:

周一上午(专家门诊)

周三上午(特需门诊


郭宏川

职称:副主任医师

微信图片_20220726110530.jpg

2005年博士毕业于白求恩医科大学,2007年赴日本埼玉医科大学访问研修,2010年完成宣武医院博士后研究并留科工作;现任北京医学会神经外科分会神经内镜学组委员;荣膺“好大夫在线”网站五届年度好大夫,至2020年全国神经外科医生网络排名第四。

擅长:垂体瘤、脑膜瘤、听神经瘤、胆脂瘤、面肌痉挛、三叉神经痛、脑脊液鼻漏、各种神经鞘瘤的外科治疗,熟练掌握神经内镜或开颅显微外科手术。


出诊时间:周二下午(专家门诊)


孟国路

职称:主任医师

微信图片_20220726110533.jpg

研究生导师,中国医师协会肿瘤分会青年委员会第一届副主任委员,儿童肿瘤精准治疗委员会常委,北京市科技新星。1996年本科毕业于北京医科大学(现北京大学医学部),2004年毕业于首都医科大学附属北京天坛医院获得神经外科博士学位。曾赴美国、日本、瑞士等地交流学习。

擅长各种颅内肿瘤、颅底脑干肿瘤、脑干海绵状血管畸形、颅内外巨大肿瘤等的手术治疗。


出诊时间:

周三上午(专家门诊) 

周三下午(特需门诊


梁建涛  副教授

职称:主任医师

职务:神经外科副主任

微信图片_20220726110536.jpg

先后毕业于山西医科大学、首都医科大学。曾到奥地利、德国、日本访问学习。师从世界神经外科大师Samii.M教授学习颅底显微外科技术,现在能熟练应用半坐位和侧卧位完成听神经瘤手术。北京市医学会神经外科分会颅底专业委员会委员、中国医师协会神经修复专业委员会委员。主持北京市首都特色课题、北京市扬帆计划等课题。2018年北京神经外科学术年会“青年医生手术视频大赛”二等奖,2019年CHINA-INI第2届手术视频大赛一等奖。

擅长:听神经瘤、颈静脉孔区肿瘤、脑膜瘤、脑干海绵状血管瘤、三叉神经痛、面肌痉挛及面瘫等疾病的显微外科治疗。


出诊时间:

周一上午(专家门诊)

 周三上午(特需门诊


汤劼  副教授

职称:主任医师

微信图片_20220726110538.jpg

世界神经外科联合会(WFNS)颅底外科委员、WFNS颅底委员会委员和先进技术委员会委员、亚太颅底外科协会(AOSBS)委员,世界颅底外科协会(WFSBS)国际联络员,中国医药教育委员会神经肿瘤委员会委员。海峡两岸交流协会神经外科外科委员会委员。擅长复杂颅内病变的微创精准手术治疗,利用术中磁共振,神经导航和超声等先进图像引导技术治疗脑内和颅底病变。

擅长:胶质瘤、脑膜瘤、听神经瘤、脑干胶质瘤和海绵状血管瘤的显微外科治疗。


出诊时间:

周五上午(专家门诊)

周三下午(专家门诊)

周三上午(特需门诊


林庆堂  副教授

职称:副主任医师

微信图片_20220726110541.jpg


2010年博士毕业于美国著名肿瘤中心--MD安德森肿瘤中心。任中国抗癌协会神经肿瘤分会、中国医师协会脑胶质瘤专委会、北京肿瘤学会神经肿瘤分会等专委会委员及学组委员;任《Archives of Neuroscience》等杂志编委;主持多个国家级与省部级脑肿瘤基础与临床研究课题。

擅长:胶质瘤(复发)、脑转移瘤、脑膜瘤等颅内肿瘤的手术治疗(以脑功能保护为基础、多模态影像引导下)、药物治疗及基因-免疫治疗等综合医疗。

出诊时间:

周三上午(专家门诊)

周五下午(专家门诊)

魏宇魁

职称:主治医师

微信图片_20220726110544.jpg

国内核心期刊和SCI共30余篇博士毕业于北京协和医院,师从国内著名神经外科专家王任直教授。其后在宣武医院神经外科攻读著名神经外科专家凌锋教授的博士后。博士后出站后在宣武医院工作。长期从事颅脑肿瘤的临床和基础研究。

擅长:胶质瘤、脑膜瘤、颅咽管瘤、听神经瘤等各类颅内肿瘤的外科治疗。

出诊时间:周三下午(专家门诊)

李茗初

职称:主治医师

微信图片_20220726110547.jpg

宣武医院神经外科萨米临床神经解剖培训中心主任,1995年至2005年先后在在中南大学湘雅医学院临床医学七年制、湘雅二医院神经外科和湘雅医院神经外科学习,获医学博士学位。主要从事神经外科肿瘤亚专科临床工作,主要研究方向为临床神经解剖和颅底肿瘤临床研究。

擅长:面肌痉挛、三叉神经痛、垂体瘤、颅咽管瘤、听神经瘤、脑膜瘤以及其他颅底肿瘤的外科治疗。


白杰  副教授

职称:副主任医师

微信图片_20220726110550.png

硕士研究生导师。2012年毕业于首都医科大学附属北京天坛医院神经外科,获博士学位。美国克利夫兰医学中心访问学者。国家自然科学基金获得者,发表本专业SCI文章及国内核心期刊10余篇。现任欧美同学会医师协会颅底外科分会副秘书长、常委。

擅长:擅长脑膜瘤、胶质瘤、垂体瘤、听神经瘤及其他各种颅内肿瘤的显微外科手术治疗。

出诊时间:周五下午(专家门诊)

侯远征  副教授

职称:副主任医师

微信图片_20220726110553.jpg

本科及硕士就读于第四军医大学,博士就读于解放军总医院神经外科。擅长胶质瘤,脑膜瘤等各类脑肿瘤,脑积水的微创手术及综合治疗;善于综合利用术中磁共振,术中超声,多模态影像导航等多种目前最先进的影像技术,及电生理监测技术辅助脑肿瘤手术,以达到最大程度的切除肿瘤并最大程度保护神经功能的目标;擅长应用内镜技术治疗各类脑室内病变及复杂脑积水。主持并参研国家及省部级课题4项,以第一作者发表专业论文10篇,其中SCI论文7篇。

擅长:脑膜瘤、胶质瘤、脑转移瘤等颅内肿瘤的手术治疗(多模态影像引导下)、脑积水的微创手术及综合治疗。

出诊时间:周四下午(专家门诊)

刘小海 

职称:主治医师

微信图片_20220726110556.jpg

医学博士(导师王任直教授),美国Cedars-Sinai医学中心博士后(导师Shlomo Melmed教授),《中国难治性垂体腺瘤专家诊治共识(2019)》编委及执笔人, 《中国复发性垂体腺瘤专家诊治共识(2019)》《中国库欣病诊治专家共识(2015)》编委。主要工作方向为颅底肿瘤特别是鞍区肿瘤(垂体腺瘤、颅咽管瘤及脊索)的手术及综合治疗。以第一或通讯作者发表SCI论文22篇,中文论文18篇,主持国家自然科学基金、协和创新工程项目、首都医科大学培育基金等多项课题,入选首都卫生发展基金“青年优才(2019)及北京市医管局“青苗计划”(2021),曾获得2016年教育部科学技术进步奖二等奖(排名第3)。目前主要研究方向:难治性垂体腺瘤的发病机制、手术及药物治疗。

擅长:垂体腺瘤、颅咽管瘤、脊索瘤、脑膜瘤、听神经瘤、面肌痉挛、三叉神经痛等颅底疾内镜及显微外科治疗。

出诊时间:

周一上午(专科门诊)

周三下午(专科门诊)

宋刚

职称:副主任医师

微信图片_20220726110559.jpg

医学博士,宣武医院神经外科颅底和脑肿瘤中心副主任医师。主要擅长面肌痉挛、三叉神经痛、垂体瘤、颅咽管瘤、听神经瘤、脑膜瘤以及其他颅底肿瘤的外科治疗。参编著作2本,发表国内核心期刊和SCI共30余篇。

擅长:面肌痉挛、三叉神经痛、垂体瘤、颅咽管瘤、听神经瘤、脑膜瘤以及其他颅底肿瘤的外科治疗。

出诊时间:周四下午(专家门诊)



治疗环境

微信图片_20220726110602.jpg

术中磁共振手术室

微信图片_20220726110605.jpg

微信图片_20220726110608.jpg

微信图片_20220726110611.jpg

微信图片_20220726110614.jpg

微信图片_20220726110617.jpg

“为患者解决病痛 ” 是我们的初心

微信图片_20220726110618.jpg

Baidu
map